목차
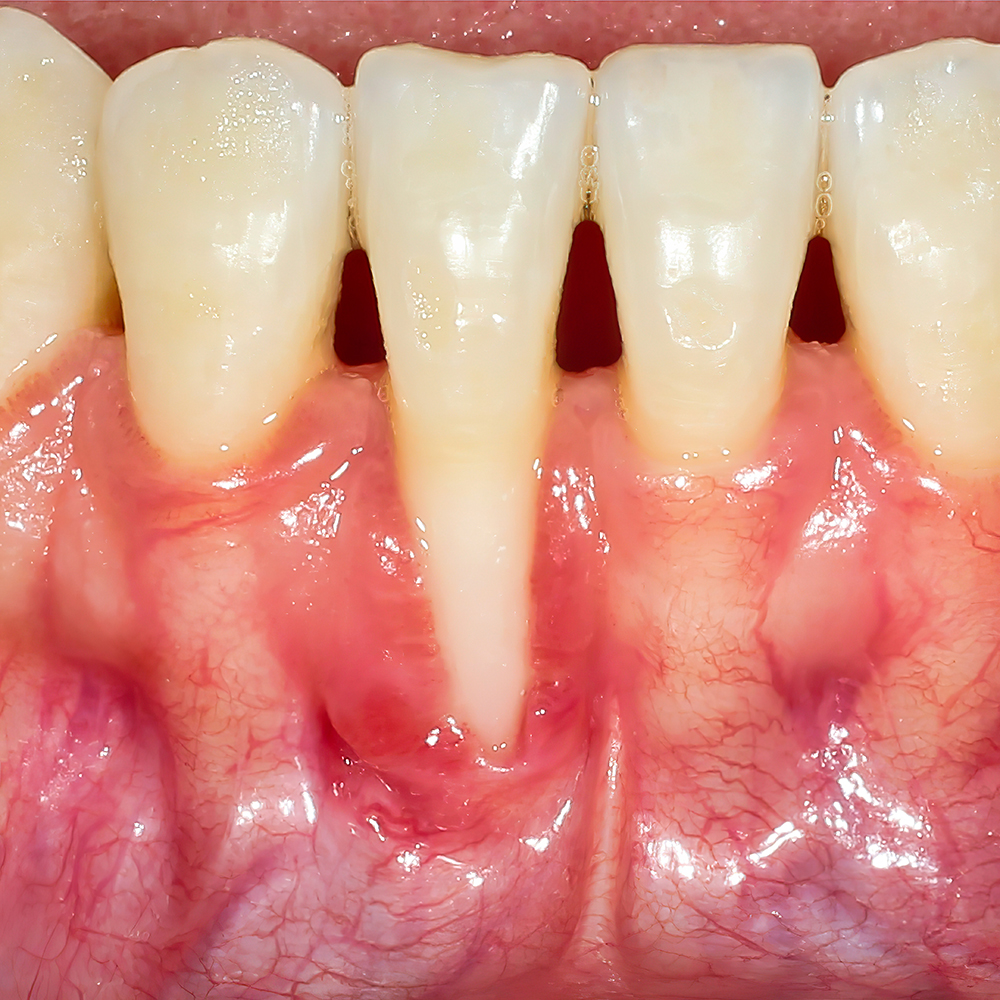
건강한 잇몸은 치아를 지탱하는 원천입니다. 하지만 나이가 들수록 잇몸이 내려앉는 현상을 겪게 되는데, 잇몸이 내려앉으면 치아가 노출되어 민감해지면서 심할 경우 발치를 해야 하므로 잇몸치료는 정말 중요하며, 잇몸 내려앉음 예방도 무척 중요합니다.
잇몸 문제의 원인과 증상
잇몸이 나빠지는 것 중 가장 큰 원인은 구강 위생 관리가 제대로 이루어지지 않는 경우입니다. 음식물 찌꺼기가 제대로 제거되지 않으면 세균이 증식하고, 이로 인해 염증이 발생합니다. 특히 플라크와 치석은 잇몸을 손상시켜 치주질환을 유발할 수 있습니다. 또 다른 원인으로는 흡연, 유전적 요인, 잘못된 식습관, 스트레스 등이 있습니다.
잇몸 질환의 초기 증상으로는 잇몸이 붓고, 출혈이 발생하며, 잇몸이 붉어집니다. 더 나아가 증상이 악화되면 잇몸이 내려앉고, 치아가 흔들리며, 심한 경우 치아가 빠질 수도 있습니다. 이 같은 증상들이 나타나기 전에 적절한 치료와 예방이 필요합니다.

잇몸치료 방법
잇몸치료는 증상에 따라 진행이 되는데, 심하지 않은 잇몸 질환은 가정에서 관리만으로도 개선될 수 있지만, 심각한 경우 치과를 찾아가서 치료를 해야 합니다.
- 구강 위생 관리: 가장 기본적인 치료 방법은 철저한 구강 위생 관리입니다. 하루 두 번 이상 이를 꼼꼼하게 닦고, 치실을 사용하여 음식물 찌꺼기를 제거해야 합니다. 구강 세정제 사용도 도움이 됩니다.
- 치석 제거(스케일링): 치과에서 정기적으로 스케일링을 받는 것이 좋습니다. 스케일링은 치석을 제거하여 염증을 예방하고, 잇몸을 건강하게 유지하는 데 필수적인 치료 방법입니다.
- 항생제 치료: 염증이 심한 경우에는 치과에서 항생제 처방을 받을 수 있습니다. 항생제는 세균을 제거하여 염증을 완화시키고, 잇몸을 회복시키는 데 도움을 줍니다.
- 루트 플래닝: 잇몸이 심하게 내려앉은 경우 스케일링으론 부족할 수 있습니다. 이때 시행하는 것이 바로 루트 플래닝인데 루트 플래닝은 치아 뿌리 부분을 청소하여 염증을 줄이고, 잇몸이 다시 치아에 밀착하도록 도와줍니다.
![]() |
![]() |
![]() |
![]() |
잇몸 내려앉음 예방법
잇몸 내려앉음은 충분히 예방할 수 있습니다. 생활 속에서 실천할 수 있는 예방법을 꾸준히 지키면 잇몸 건강을 유지하고, 질환을 예방할 수 있습니다.
- 정기적인 치과 방문: 최소 6개월마다 치과를 방문하여 구강 상태를 점검하고, 스케일링을 받는 것이 중요합니다. 정기적인 검진을 통해 잇몸 질환을 조기에 발견하고, 빠르게 치료할 수 있습니다.
- 올바른 칫솔질 방법: 너무 강하게 이를 닦는 것은 오히려 잇몸을 손상시킬 수 있습니다. 부드러운 칫솔을 사용하고, 적절한 압력으로 이를 닦는 것이 좋습니다. 또한, 치아와 잇몸 경계 부위를 꼼꼼히 닦아주어야 합니다.
- 균형 잡힌 식단: 비타민 C와 같은 영양소는 잇몸 건강을 유지하는 데 필수적입니다. 과일과 채소를 충분히 섭취하고, 설탕이 많이 함유된 음식을 피하는 것이 좋습니다.
- 금연: 흡연은 잇몸 건강에 치명적입니다. 흡연은 잇몸의 혈액순환을 저하시키고, 치주질환을 악화시킬 수 있습니다. 따라서 금연은 잇몸을 건강하게 유지하는 데 매우 중요합니다.
- 스트레스 관리: 스트레스는 면역력을 저하시키고, 잇몸 질환의 원인이 될 수 있습니다. 규칙적인 운동, 명상, 적절한 휴식 등으로 스트레스를 관리하는 것이 필요합니다.
잇몸 내려앉음을 예방하고 치료하기 위해서 더 자세한 정보를 알고 싶으신 분들은 아래 포스팅을 참고하시면 많은 도움이 되실 겁니다.
잇몸치료 및 예방에 대한 결론
잇몸 질환은 조기에 발견하여 적절히 치료하는 것이 가장 중요합니다. 정기적인 치과 검진과 철저한 구강 관리는 잇몸 질환을 예방하고, 건강한 치아와 잇몸을 유지하는 데 필수적입니다. 만약 잇몸 질환 증상이 나타난다면 빠르게 치과를 방문하여 전문가의 상담을 받는 것이 좋습니다. 작은 습관 변화만으로도 잇몸 건강에 큰 차이를 만들 수 있으니, 오늘부터라도 꾸준한 관리로 건강한 미소를 유지하세요.
![]() |
![]() |
![]() |
![]() |
![]() |








