목차
임플란트는 현대 치과 치료 중 가장 혁신 중 방법으로 자연치아와 거의 흡사한 기능을 제공합니다. 많은 치아를 상실한 사람들에게 전체 임플란트는 단순히 자연치를 대신하고 삶의 질을 높입니다. 그러나 가격이 비싸다 보니 고민하시는 분을 위해 지금부터 전체 임플란트 가격, 수명, 그리고 틀니와의 비교까지 상세히 알아보겠습니다.
전체 임플란트란
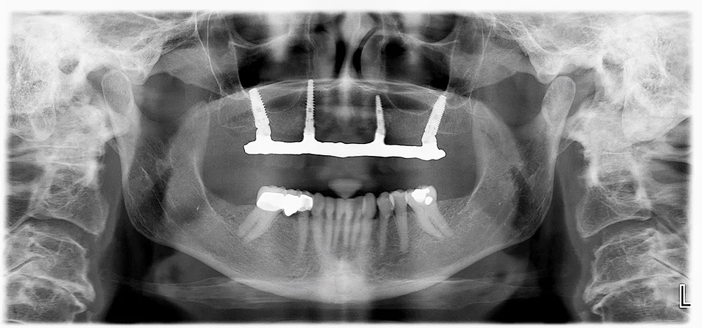
전체 임플란트는 위아래 각각 14개씩 28개의 치아가 있으며 14개의 치아 모두 상실된 경우 14개의 임플란트를 모두 식립하는 것이 아니라 8~10개의 임플란트를 식립 후 머리 부분의 치아를 연결하는 방식입니다.
즉, 여러 개의 인공 치아 뿌리(임플란트)를 잇몸과 턱뼈에 식립하여, 그 위에 고정식 틀니나 브릿지를 장착하는 치과 치료 방법입니다. 이는 주로 전체 치아가 상실된 환자들에게 적용되며, 부분적인 치아 상실을 보완하는 부분 임플란트와 구분됩니다.
전체 임플란트는 기존의 틀니와 달리, 잇몸에 직접 고정되어 있어 안정성과 편안함이 뛰어납니다. 또한, 자연치아와 유사한 힘을 발휘할 수 있어 음식 섭취나 발음 등 일상적인 활동에서도 큰 불편이 없습니다. 이러한 특성 덕분에 많은 환자들이 전체 임플란트를 선택하고 있으며, 치과계에서도 적극 추천하는 치료법 중 하나로 자리 잡고 있습니다.

전체 임플란트 가격
전체 임플란트 가격은 다양한 요소들에 의해 결정됩니다. 전체 임플란트 가격은 일반적으로 임플란트 식립 개수, 사용되는 임플란트 재료, 치과의사와 병원의 전문성, 그리고 추가적인 치과 치료 여부 등에 따라 달라집니다. 한국에서 전체 임플란트의 평균 가격은 1200만 원에서 2500만 원 사이이며, 이는 각 치과 병원의 정책과 환자의 상태에 따라 다소 차이가 있을 수 있습니다.
- 임플란트 식립 개수: 필요한 임플란트의 개수가 많을수록 비용이 증가합니다.
- 임플란트 재료: 티타늄 등 고급 재료를 사용할 경우 비용이 더 높아질 수 있습니다.
- 치과의사와 병원의 전문성: 경험이 풍부하고 평판이 좋은 치과의 경우 비용이 더 높게 책정될 수 있습니다.
- 추가 치료: 잇몸 이식, 뼈 이식 등 추가적인 치료가 필요한 경우 비용이 증가할 수 있습니다.
이 외에도 환자의 개별 상황에 따라 추가적인 비용이 발생할 수 있으므로, 정확한 비용은 치과와 상담 후 결정하는 것이 바람직합니다.
![]() |
![]() |
전체 임플란트 수명
전체 임플란트 수명은 어떻게 관리 하는지와 정기검진을 통해 10년에서 20년, 혹은 그 이상까지도 가능합니다. 지금부터 전체 임플란트 수명을 늘리기 위한 방법을 알아보겠습니다.
- 구강 위생 관리: 임플란트는 자연치아와 마찬가지로 정기적인 칫솔질과 치실 사용이 중요합니다.
- 정기적인 치과 검진: 정기적인 치과 방문을 통해 임플란트 상태를 점검하고 필요시 조치를 취해야 합니다.
- 식습관: 너무 딱딱하거나 끈적한(엿, 젤리) 음식을 피하는 것이 좋습니다.
- 흡연: 흡연은 임플란트 수명을 단축시키는 주요 요인 중 하나입니다.
적절한 관리와 정기검진을 잘 했다면 전체 임플란트를 반영구적으로 사용이 가능하며, 이를 통해 경제적인 이득과 힘든 임플란트 치료를 하지 않아도 되는 장점이 생기게 됩니다.

전체 임플란트와 틀니의 비교
전체 임플란트와 틀니는 모두 치아 상실을 보완하는 방법이지만, 그 특징과 장단점이 다릅니다. 전체 임플란트는 잇몸에 고정되어 자연스러운 착용감과 기능을 제공하는 반면, 틀니는 탈착이 가능해 청소와 관리가 용이합니다. 각각의 장단점은 다음과 같습니다.
전체 임플란트의 장점
- 안정성: 잇몸에 고정되어 흔들림 없이 안정적입니다.
- 편안함: 자연치아와 유사한 착용감을 제공합니다.
- 기능성: 음식을 씹는 능력이나 발음에 있어서 자연치아와 유사한 기능을 발휘합니다.
전체 임플란트의 단점
- 비용: 초기 비용이 높습니다.
- 수술 필요: 임플란트 식립을 위한 수술이 필요합니다.

틀니의 장점
- 비용 효율성: 상대적으로 저렴한 비용으로 제공됩니다.
- 탈착 가능: 청소와 관리가 용이합니다.
틀니의 단점
- 안정성 부족: 착용 중 움직임이 발생할 수 있습니다.
- 불편함: 착용감이 다소 불편할 수 있습니다.
- 기능성 부족: 음식을 씹는 능력이나 발음이 자연치아와 비교해 부족할 수 있습니다.
환자의 개인적인 상황과 선호도에 따라 전체 임플란트와 틀니 중 적합한 방법을 선택하는 것이 중요합니다.

결론
전체 임플란트는 부득이한 사정이나 잇몸 질환으로 인해 전체 치아를 상실하였거나 대부분의 치아를 상실했을 때 자연치를 대신할 수 있는 치료 방법입니다. 비록 초기 들어가는 비용은 비싸지만, 장기적인 관점에서 볼 때 그 혜택은 매우 크다고 할 수 있습니다. 전체 임플란트를 생각하고 있다면 믿을 수 있는 치과를 선택하여 충분한 상담을 통해 정확한 정보를 얻고, 자신의 상황에 맞는 최적의 결정을 내리는 것이 중요합니다.
함께 보면 좋은 정보
임플란트 치료기간 사람마다 다른 이유 완벽 정리
임플란트 치료기간은 사람마다 크게 다를 수 있습니다. 이는 개인의 건강 상태, 구강 환경, 시술 방법 등에 따라 달라지기 때문입니다. 지금부터 임플란트 치료기간이 사람마다 다른 이유를 자
clinic.healthok.kr
신경치료 후 크라운 안하면? 후회하기 싫다면 꼭 보세요
신경치료는 보통 심한 충치나 치아 손상으로 인해 신경이 손상된 경우에 시행되며, 신경치료를 받은 후에는 대부분 크라운으로 보호하게 되는데, 이를 생략할 경우 여러 가지 문제들이 발생할
clinic.healthok.kr
충치가 안 생기는 사람, 정말 가능할까?
충치를 일으키는 주요 원인은 입 속의 박테리아가 당분을 분해하면서 산을 생성하고, 이 산이 치아의 에나멜을 녹이면서 발생합니다. 하지만 모든 사람이 충치가 생기는 것이 아니며, 실제로 충
clinic.healthok.kr
임플란트 가격 합리적이고 후회 하지 않는 비용 선택 방법
임플란트는 치아를 상실한 경우 효과적으로 대체할 수 있습니다. 하지만 임플란트 가격은 비싸고, 건강보험이 적용되지 않기에 합리적인 가격을 선택을 하는 것이 중요합니다. 지금부터 임플란
healthok.kr

